Implanty zębowe Chorzów
Szukasz sprawdzonego rozwiązania na brakujące zęby? Implanty zębowe w TENDENT STOMATOLOGIA JANIK w Chorzowie to nowoczesna odpowiedź na problemy z utratą uzębienia.
Aleksandra Janik
Implanty zębowe w Chorzowie to nowoczesna i sprawdzona metoda odbudowy brakującego zęba lub kilku zębów, która poprawia nie tylko estetykę uśmiechu, ale też komfort jedzenia i mowy. Braki w uzębieniu mogą prowadzić do przesuwania się sąsiednich zębów, przeciążenia pozostałych oraz stopniowego zaniku kości, dlatego warto rozważyć trwałe rozwiązanie. Implant zęba pełni funkcję sztucznego korzenia – najczęściej ma postać śruby umieszczanej w kości szczęki lub żuchwy, a po wygojeniu stanowi stabilną podstawę do odbudowy protetycznej, takiej jak korona, most lub praca na implantach.
Cały proces zwykle zaczyna się od konsultacji i dokładnej diagnostyki oraz planu leczenia, następnie wykonywany jest zabieg wszczepienia implantu w znieczuleniu miejscowym, po którym następuje okres gojenia i integracji implantu z kością, a finalnie dopasowywana jest odbudowa protetyczna, aby uzyskać naturalny wygląd i prawidłową funkcję zgryzu. Jeśli warunki kostne są niewystarczające, często możliwe są zabiegi przygotowawcze, które pomagają bezpiecznie przeprowadzić implantację.
plant stabilnie „stoi” w kości, więc możesz normalnie gryźć, mówić i uśmiechać się bez obaw o ruszanie się uzupełnienia.
Implant przenosi siły żucia na kość, co pomaga ograniczać jej zanik po utracie zęba. Nie trzeba też szlifować zdrowych zębów obok (jak przy moście).
Przy prawidłowym planie leczenia i higienie implanty mogą służyć bardzo długo, a codzienna pielęgnacja jest zbliżona do dbania o własne zęby.
To, kiedy można wstawić implant po ekstrakcji, zależy przede wszystkim od warunków w jamie ustnej: ilości i jakości kości, stanu tkanek miękkich, obecności infekcji oraz tego, czy da się uzyskać stabilne „osadzenie” implantu. W praktyce wyróżnia się kilka najczęstszych okien czasowych:
„Implant zębowy to dziś najbardziej naturalny sposób na odbudowę utraconego zęba – odtwarza zarówno korzeń, jak i koronę, dzięki czemu możesz jeść, mówić i uśmiechać się bez skrępowania. W mojej praktyce w Chorzowie stawiam na bezpieczne planowanie leczenia (dokładna diagnostyka i dobór implantu do warunków kostnych), delikatny zabieg oraz przewidywalny efekt estetyczny. Każdy przypadek jest inny, dlatego zawsze omawiam z pacjentem możliwe opcje i realny przebieg gojenia – tak, aby decyzja o implantach była spokojna i świadoma.”
Wykonujemy wysoko estetyczne mosty cyrkonowe, przykręcane na stałe do implantów. To rozwiązanie niewymagające wyjmowania, które zapewnia maksymalną estetykę, komfort oraz stabilność na co dzień.
Metoda ALL-ON-ICX dedykowana jest pacjentom z uzębieniem resztkowym oraz osobom bezzębnym, które oczekują trwałej i nowoczesnej odbudowy uśmiechu.
Leczenie opiera się na cyfrowej koncepcji implantologicznej, łączącej doświadczenie lekarza z precyzyjną diagnostyką trójwymiarową oraz komputerową symulacją ustawienia implantów i zębów tymczasowych jeszcze przed zabiegiem. Dzięki temu już na etapie implantacji dr Aleksandra Janik dysponuje indywidualnie zaplanowanymi pomocami, takimi jak:
Tak zaplanowane leczenie pozwala nam osiągnąć efekt: Uśmiech w 1 dzień
Protezy ruchome na implantach to rozwiązanie zdejmowane przez pacjenta, mocowane na 3 lub 4 implantach za pomocą belki lub lokatorów. Zapewniają zdecydowanie lepszą stabilność niż klasyczna proteza, jednak wymagają wyjmowania do codziennego czyszczenia.
To korzystniejsza cenowo alternatywa dla stałych prac protetycznych, dedykowana pacjentom z uzębieniem resztkowym oraz osobom bezzębnym.
Najważniejsze zalety:
W leczeniu implantologicznym ogromne znaczenie ma pełne przygotowanie – bo implant to nie tylko sam zabieg, ale cały proces, który zaczyna się dużo wcześniej. Dlatego w TENDENT Stomatologia Janik w Chorzowie stworzyłam zespół ekspertów, z którymi wspólnie pracuję nad każdym przypadkiem.
Każdego pacjenta traktujemy indywidualnie. Analizujemy stan jamy ustnej, warunki kostne, dziąsła i ewentualne problemy, które mogą wpłynąć na powodzenie implantów. Dzięki temu plan leczenia nie jest „uniwersalny”, tylko dopasowany do konkretnej osoby i jej potrzeb.
Swoją pracę rozdzielam pomiędzy zespół, aby zadbać o wszystkie elementy, które mają wpływ na bezpieczne i przewidywalne leczenie implantologiczne – od diagnostyki i przygotowania, przez etap chirurgiczny, aż po odbudowę protetyczną. Taka współpraca pozwala nam działać sprawnie, a pacjent ma poczucie, że cały proces jest prowadzony konsekwentnie i pod kontrolą.
W naszym gabinecie stomatologicznym posiadamy w pełni wyposażoną pracownię RTG, tomograf komputerowy oraz nowoczesne skanery wewnątrzustne. Cała diagnostyka i planowanie leczenia odbywają się na miejscu, co pozwala skrócić czas terapii, zwiększyć jej precyzję i zapewnić pacjentowi pełen komfort.
Właściciel TENDENT Stomatologia
Specjalizuje się w stomatologii estetycznej, protetyce, implantoprotetyce oraz implantologii.
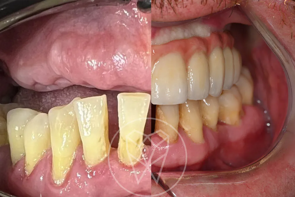
*Zdjęcia ukazują efekt zabiegu u konkretnego pacjenta. Efekt zabiegu może się różnić w zależności od indywidualnych cech pacjenta, liczby powtórzeń zabiegu, stosowania się pacjenta do zaleceń pozabiegowych oraz umiejętności osoby przeprowadzającej zabieg.
Zakres wykonanych prac: Stała praca na 6 implantach w szczęce zastąpiła ruchomą protezę.
Dzięki planowaniu cyfrowemu i szablonom chirurgicznym uzyskaliśmy precyzyjne pozycjonowanie implantów oraz nowy uśmiech. W dniu zabiegu pacjent otrzymał natychmiastowe, stałe uzupełnienie tymczasowe. Po wygojeniu i osteointegracji, po 6 miesiącach, wykonaliśmy pracę ostateczną w pełnej ceramice – trwałą i naturalnie odwzorowującą uśmiech.
Zakres wykonanych prac: Pacjent zgłosił się z potrzebą szybkiej metamorfozy uśmiechu. Po analizie estetyki w Smile Creatorze wykonano korony porcelanowe na podbudowie cyrkonowej oraz korony na implantach w miejscach braków.
Metamorfoza trwała 6 miesięcy i została przeprowadzona przez dr Aleksandrę Janik. Pacjent cieszy się nowym uśmiechem i regularnie zgłasza się na kontrole oraz higienizację.